La struttura della membrana determina una permeabilità selettiva

Editors:
Test Ammissione
All Editors & Disclosures

TOPICS

Definizione

(by Test Ammissione)

Dal DNA all'RNA

La trascrizione rappresenta il primo stadio dell’espressione genica, cioè il passaggio con cui le informazioni codificate nei geni vengono lette e convertite in molecole di RNA. Un singolo gene può essere copiato ripetutamente, generando numerose molecole di RNA tra loro identiche. Nei geni codificanti per proteine, l’RNA agisce per lo più come intermediario informazionale e ciascun trascritto può essere tradotto più volte, determinando un’efficiente amplificazione del segnale proteico. La cellula modula in modo indipendente la velocità di trascrizione dei singoli geni e la frequenza di traduzione dei relativi RNA, così da ottenere concentrazioni molto diverse di proteine distinte (Figura 03.05-01). Oltre agli RNA messaggeri, esistono ampie classi di RNA non codificanti con funzioni strutturali, regolative e catalitiche, che concorrono alla gestione integrata dell’espressione genica.

Image Gallery

Efficienza di espressione genica

Una cellula è in grado di esprimere i geni con efficienza diversa. In questa figura e in quelle successive i tratti non trascritti del DNA sono evidenziati in grigio.

Immagine tratta liberamente da Internet. Se viola i tuoi diritti, contattaci.

Porzioni della sequenza di DNA sono convertite in RNA

Per attivare uno dei numerosi geni presenti nel genoma, la cellula ne copia un tratto di sequenza in RNA. Il termine “trascrizione” riflette il fatto che il linguaggio chimico resta quello dei nucleotidi, pur cambiando la natura del polimero. Come il DNA, anche l’RNA è una catena lineare di nucleotidi uniti da legami fosfodiesterici; tuttavia si distinguono differenze chimiche rilevanti:

  • i nucleotidi dell’RNA sono ribonucleotidi e contengono ribosio, mentre quelli del DNA contengono desossiribosio;
  • l’RNA utilizza uracile (U) al posto della timina (T) tipica del DNA, pur condividendo adenina (A), guanina (G) e citosina (C) (Figura 03.05-02).

Poiché U si appaia con A tramite legami a idrogeno in modo analogo a T (Figura 03.05-03), valgono le stesse regole di complementarità già descritte per il DNA. Le due macromolecole differiscono però per l’architettura complessiva: il DNA è stabilmente organizzato in una doppia elica, mentre l’RNA è in genere a singolo filamento. Questa caratteristica consente all’RNA di ripiegarsi in strutture secondarie e terziarie definite, guidate da appaiamenti intramolecolari e interazioni non canoniche, con importanti conseguenze funzionali (Figura 03.05-04). Tale plasticità conformazionale spiega la varietà di funzioni dell’RNA, che includono ruoli catalitici (ad esempio negli RNA ribosomiali che contribuiscono all’attività peptidil–transferasica del ribosoma), ruoli strutturali (rRNA, tRNA), e di regolazione genica (snRNA, snoRNA, miRNA, lncRNA). Il DNA, per contro, è specializzato nell’immagazzinamento stabile dell’informazione genetica.

Image Gallery

Differenze chimiche tra DNA e RNA

La struttura chimica dell’RNA differisce leggermente da quella del DNA. (A) L’RNA contiene, come zucchero, il ribosio, che differisce dal deossiribosio, lo zucchero presente nel DNA, per la presenza di un gruppo –OH in più. (B) L’RNA contiene la base uracile, che differisce dalla timina, la base equivalente del DNA, per l’assenza di un gruppo –CH₃. (C) Breve tratto di RNA. Il legame chimico tra nucleotidi, il legame fosfodiesterico, è lo stesso nel DNA e nell’RNA.

Immagine tratta liberamente da Internet. Se viola i tuoi diritti, contattaci.

Image Gallery

Appaiamento U–A nell’RNA

L’uracile fa da base complementare all’adenina. I legami idrogeno che tengono unite le coppie di basi sono mostrati in rosso. L’uracile presenta le stesse caratteristiche di complementarità della timina, per cui le coppie U–A nell’RNA somigliano moltissimo alle coppie T–A nel DNA (Figura 5.4A).

Immagine tratta liberamente da Internet. Se viola i tuoi diritti, contattaci.

Image Gallery

Strutture dell’RNA

Le molecole di RNA possono ripiegarsi per formare strutture specifiche tenute insieme da legami idrogeno tra diverse paia di basi. L’RNA è a filamento singolo, ma contiene spesso brevi tratti di nucleotidi che si possono appaiare perché trovano sequenze complementari in altre zone della stessa molecola. Queste e altre interazioni di tipo “non convenzionale” tra le basi, per esempio A–G, fanno ripiegare l’RNA in una struttura tridimensionale determinata dalla sua sequenza nucleotidica. (A) Schema di una struttura ipotetica di RNA ripiegata, dove sono indicati soltanto gli appaiamenti tra basi di tipo convenzionale (G–C e A–U) (in rosso). (B) L’inserimento delle interazioni non convenzionali (in verde) modifica la struttura dell’RNA ipotetico mostrato in (A). (C) Modello di una molecola vera di RNA coinvolta nello splicing dell’RNA. Il numero considerevole di strutture a doppia elica presente su questo RNA è prodotto dall’appaiamento di basi convenzionale.

Immagine tratta liberamente da Internet. Se viola i tuoi diritti, contattaci.

La trascrizione genera un RNA complementare a un singolo filamento di DNA

Tutte le specie di RNA cellulari derivano da un meccanismo comune: la trascrizione. Il processo ha inizio con l’apertura locale della doppia elica del DNA, che espone brevi regioni di basi su entrambi i filamenti (bolla trascrizionale). Uno dei due filamenti funge da stampo e dirige l’incorporazione sequenziale dei ribonucleotidi, i quali si appaiano in modo complementare alle basi del filamento stampo. Quando l’appaiamento è corretto, l’RNA polimerasi catalizza la formazione del legame fosfodiesterico, estendendo la catena nascente di un nucleotide alla volta; la sequenza del trascritto risulta complementare a quella del filamento stampo (Figura 03.05-05). Convenzionalmente, il filamento di DNA non copiato è detto “codificante” perché la sequenza dell’mRNA ad esso corrisponde (eccetto la sostituzione U/T), mentre il filamento copiato è detto “stampo” o “non codificante”.

A differenza della replicazione, durante la trascrizione il filamento di RNA si distacca rapidamente dallo stampo appena sintetizzato. L’elica di DNA si richiude alle spalle dell’enzima, per cui il prodotto è un singolo filamento di RNA complementare a uno solo dei due filamenti di DNA. Inoltre, i trascritti sono notevolmente più corti delle molecole cromosomiche: un cromosoma umano può contenere centinaia di milioni di coppie di nucleotidi, mentre gli RNA maturi raramente superano poche migliaia di nucleotidi e molti sono più brevi.

Come le DNA polimerasi, le RNA polimerasi catalizzano la formazione di legami fosfodiesterici che uniscono l’ossatura zucchero–fosfato del polimero (Figura 03.05-02). L’elongazione procede in direzione \(5' \rightarrow 3'\) (Figura 03.05-06), con consumo di ribonucleosidi trifosfato (ATP, CTP, GTP, UTP). L’energia liberata dall’idrolisi del gruppo trifosfato, con rilascio di pirofosfato e sua successiva scissione, rende termodinamicamente favorevole la polimerizzazione.

Poiché il trascritto si separa dallo stampo man mano che viene prodotto, più molecole di RNA polimerasi possono impegnare lo stesso gene quasi simultaneamente; nuove inizi possono avvenire prima che l’elongazione precedente sia completata (Figura 03.05-07). Per un gene di circa 2 000 nucleotidi, un’RNA polimerasi che avanza a ~35 nucleotidi/s completa il trascritto in ~57 s; in condizioni permissive, decine di polimerasi distribuite lungo quel tratto possono generare diverse centinaia di trascritti all’ora, sebbene per molti geni fisiologici i tassi siano decisamente inferiori.

Nonostante la somiglianza della reazione chimica, le RNA polimerasi differiscono dalle DNA polimerasi in aspetti chiave: utilizzano ribonucleotidi invece di desossiribonucleotidi e non richiedono un innesco per avviare la sintesi. Inoltre, l’accuratezza è inferiore: la frequenza di errore è nell’ordine di un evento ogni \(10^4\) nucleotidi incorporati, mentre le DNA polimerasi, grazie a un’efficiente correzione di bozze, raggiungono valori intorno a \(10^7\) o meglio. Alcune RNA polimerasi possono effettuare un limitato “backtracking” con rimozione del nucleotide erroneo, ma l’assenza di un archivio permanente dell’informazione nell’RNA rende tollerabile una fedeltà più bassa. La diversità delle RNA polimerasi riflette anche l’organizzazione cellulare: nei procarioti è presente una singola RNA polimerasi con fattore sigma per il riconoscimento del promotore, mentre negli eucarioti coesistono almeno tre enzimi principali (I, II, III) con specificità di trascritti differenti e necessità di fattori generali di trascrizione per l’avvio.

L’individuazione dei geni da trascrivere dipende da sequenze di DNA caratteristiche, come promotori che dirigono l’inizio e segnali di terminazione che arrestano l’enzima; la loro interazione con l’RNA polimerasi e i fattori accessori coordina l’efficienza di inizio, l’accuratezza e la produttività della trascrizione, e costituisce un nodo cruciale della regolazione dell’espressione genica.

Image Gallery

Trascrizione genica

La trascrizione di un gene produce un RNA complementare a un filamento del DNA. Il filamento trascritto del gene (quello in basso in questo esempio) è detto filamento stampo perché viene utilizzato per guidare la sintesi della molecola di RNA. Il filamento del DNA che non fa da stampo (quello in alto in questo esempio) si indica talvolta con il nome di filamento codificante, perché la sua sequenza è equivalente a quella dell’RNA trascritto, come mostrato. Il filamento che svolge la funzione di stampo varia a seconda del gene, come vedremo successivamente. Per convenzione, una molecola di RNA è sempre rappresentata con l’estremità 5′ (la prima a essere sintetizzata) sulla sinistra.

Immagine tratta liberamente da Internet. Se viola i tuoi diritti, contattaci.

Image Gallery

Differenze chimiche tra DNA e RNA

La struttura chimica dell’RNA differisce leggermente da quella del DNA. (A) L’RNA contiene, come zucchero, il ribosio, che differisce dal deossiribosio, lo zucchero presente nel DNA, per la presenza di un gruppo –OH in più. (B) L’RNA contiene la base uracile, che differisce dalla timina, la base equivalente del DNA, per l’assenza di un gruppo –CH₃. (C) Breve tratto di RNA. Il legame chimico tra nucleotidi, il legame fosfodiesterico, è lo stesso nel DNA e nell’RNA.

Immagine tratta liberamente da Internet. Se viola i tuoi diritti, contattaci.

Image Gallery

RNA polimerasi

L’enzima RNA polimerasi trascrive il DNA in RNA. L’RNA polimerasi (in celeste) si muove passo passo lungo il DNA, svolgendo di fronte a sé la doppia elica. Man mano che avanza, la polimerasi aggiunge ribonucleotidi uno dopo l’altro alla catena di RNA, usando uno dei filamenti di DNA esposto come stampo. Il trascritto di RNA risultante è quindi a filamento singolo e complementare a questo filamento stampo (Figura 7.6). Scorrendo lungo il DNA stampo, la polimerasi disloca le molecole di RNA nascente, permettendo ai due filamenti di DNA dietro la polimerasi di riavvolgersi. Il breve tratto di elica DNA/RNA ibrido, lungo circa nove nucleotidi, che si forma temporaneamente dà luogo a una specie di “finestra” di elica ibrida DNA/RNA che si muove lungo il DNA con la polimerasi. Si noti che, sebbene la primasi e l’RNA polimerasi sintetizzino entrambe l’RNA usando uno stampo di DNA, sono enzimi diversi, codificati da geni differenti.

Immagine tratta liberamente da Internet. Se viola i tuoi diritti, contattaci.

Image Gallery

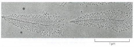
Trascrizione simultanea di un gene

Molte molecole di RNA polimerasi possono trascrivere contemporaneamente lo stesso gene. In questa fotografia al microscopio elettronico sono mostrati due geni ribosomiali adiacenti su una singola molecola di DNA. Le molecole di RNA polimerasi sono appena visibili come una serie di puntini lungo la colonna centrale della molecola di DNA: ogni polimerasi ha un trascritto di RNA (visibile come un filo corto e sottile) che si irradia da essa. Le molecole di RNA che vengono trascritte dai due geni ribosomiali, gli RNA ribosomiali (rRNA), non sono tradotte in proteine, ma vengono utilizzate direttamente come componenti dei ribosomi, macchinari macromolecolari fatti di RNA e proteine. Le particelle di grandi dimensioni visibili all’estremità libera 5′ di ogni rRNA trascritto sono proteine ribosomiali che si sono assemblate sulle estremità dei trascritti in accrescimento. Queste proteine verranno trattate più avanti nel capitolo.

Immagine tratta liberamente da Internet. Se viola i tuoi diritti, contattaci.

La cellula sintetizza una varietà di RNA funzionali

Una porzione consistente dei geni contenuti nel DNA codifica per sequenze amminoacidiche che verranno tradotte in proteine. Gli RNA trascritti da questi loci, che fungono da intermedi informazionali tra DNA e apparato di sintesi proteica, sono noti come RNA messaggeri (mRNA). Negli eucarioti, un mRNA è in genere monocistronico, cioè deriva dalla trascrizione di un singolo gene e specifica una sola proteina; nei procarioti, al contrario, non è raro che un mRNA sia policistronico, poiché costituisce il trascritto di più geni adiacenti organizzati in operoni, consentendo la produzione coordinata di proteine funzionalmente collegate.

In altri casi, il prodotto finale dell’espressione genica non è una proteina, bensì l’RNA stesso, che agisce come molecola effettore. Questi RNA non codificanti possiedono funzioni regolative, strutturali o catalitiche, e sono indispensabili per la traduzione dell’informazione genetica e per il controllo fine dell’espressione genica. Tra i principali:

  • gli RNA ribosomiali (rRNA), che costituiscono l’impalcatura strutturale e il nucleo catalitico dei ribosomi, sede della traduzione degli mRNA in catene polipeptidiche;
  • gli RNA transfer (tRNA), che operano come adattatori molecolari: riconoscono i codoni dell’mRNA e veicolano gli amminoacidi corrispondenti al sito peptidil-transferasico del ribosoma, garantendo l’accurato inserimento residuo per residuo;
  • i microRNA (miRNA), piccoli RNA regolativi eucariotici che modulano l’espressione genica post-trascrizionale, in genere riducendo la stabilità degli mRNA o inibendone la traduzione.

Oltre a queste classi, nelle cellule si repertoriano ulteriori RNA non codificanti con ruoli definiti: gli snRNA e snoRNA, coinvolti rispettivamente nello splicing e nella maturazione/modifica dell’rRNA; gli siRNA e i piRNA, che mediano silenziamento genico e difesa genomica; i lncRNA, che partecipano a processi di regolazione trascrizionale ed epigenetica. I principali tipi di RNA sono riassunti nella (Tabella 03.05-01).

Con espressione genica si intende, in senso ampio, l’insieme dei passaggi mediante i quali l’informazione codificata nel DNA viene convertita in un prodotto funzionale che esercita un effetto fenotipico sulla cellula o sull’organismo. Se il prodotto è una proteina, il processo include trascrizione e traduzione; se il prodotto è un RNA funzionale, la via si arresta alla trascrizione e all’eventuale maturazione dell’RNA stesso.

Tipo di RNAFunzione
RNA messaggeri (mRNA)Portano l’informazione genetica necessaria per la sintesi delle proteine
RNA ribosomiali (rRNA)Costituiscono la struttura principale dei ribosomi e catalizzano la formazione dei legami peptidici
microRNA (miRNA)Regolano l’espressione genica modulando la traduzione degli mRNA
RNA transfer (tRNA)Agiscono da adattatori tra codoni dell’mRNA e amminoacidi durante la traduzione
Altri RNA non codificantiCoinvolti nello splicing, nel controllo dei telomeri, nella regolazione genica e in numerosi altri processi cellulari

Tipi di RNA nelle cellule

Nelle cellule esistono differenti classi di RNA, ciascuna con funzioni specifiche. Alcuni trasmettono l’informazione genetica per la sintesi proteica, altri partecipano alla struttura e al funzionamento dei ribosomi, altri ancora svolgono ruoli regolatori fondamentali nel controllo dell’espressione genica e nella stabilità del genoma.

Segnali specifici nel DNA guidano l’RNA polimerasi nell’avvio e nella conclusione della trascrizione

La fase di inizio della trascrizione rappresenta un nodo regolativo primario: è in questo punto che la cellula decide quali geni attivare, in quali quantità e in quali condizioni. Per avviare la sintesi di un trascritto, l’RNA polimerasi deve individuare l’incipit corretto di un gene e stabilire un’interazione ad alta affinità con il DNA in quella regione. Le modalità con cui questo riconoscimento avviene differiscono tra procarioti ed eucarioti, motivo per cui è utile considerare prima il sistema batterico, più lineare nella sua organizzazione.

Quando l’RNA polimerasi batterica intercetta la doppia elica, può aderire debolmente e “scorrere” lungo il DNA fino a incontrare un promotore, ossia una sequenza specifica di nucleotidi che segnala il punto di avvio della trascrizione. Una volta legata il promotore con alta specificità, l’enzima promuove l’apertura locale della doppia elica, generando una “bolla” di trascrizione che espone i nucleotidi di entrambi i filamenti. Il filamento stampo viene selezionato come matrice per l’appaiamento dei ribonucleotidi in ingresso e l’RNA polimerasi catalizza la formazione dei primi legami fosfodiesterici, dando inizio all’allungamento del trascritto (Figura 03.05-08).

La progressione procede in direzione \(5'\to 3'\), con incorporazione sequenziale dei nucleotidi complementari. L’enzima continua fino a raggiungere un segnale di terminazione, o terminatore, una sequenza del DNA che determina l’arresto della trascrizione e il rilascio del neo-RNA e della matrice. È importante notare che il segnale di terminazione è contenuto nella regione trascritta e si riflette nella porzione 3′ del trascritto; nei batteri, i terminatori possono essere intrinseci (rho-indipendenti), basati sulla formazione di forcelle a stem–loop nel trascritto seguite da una serie di uracili, o dipendenti da fattori proteici (Rho), che promuovono il distacco dell’enzima. Le sequenze consenso di un promotore batterico tipico e un esempio di segnale di terminazione (talvolta indicato impropriamente come “codone di stop” in ambito didattico) (Figura 03.05-09) sono riportati nelle figure corrispondenti.

Affinché un tratto di DNA sia trascritto, deve essere preceduto da un promotore funzionale; la forza del promotore, determinata dalla somiglianza alle sequenze consenso e dal contesto cromatinico/strutturale, contribuisce al livello di espressione del gene. Nella RNA polimerasi batterica (Figura 03.05-08), il riconoscimento del promotore è mediato essenzialmente dalla subunità σ (fattore sigma), che interagisce con motivi conservati localizzati a circa −35 e −10 nucleotidi a monte del sito di inizio (+1). Le basi esposte nel solco maggiore del DNA presentano pattern chimici distintivi che permettono al fattore σ di “leggere” la sequenza senza separare i filamenti. Durante l’apertura della bolla trascrizionale, σ stabilizza temporaneamente l’elica srotolata, facilitando la formazione dei primi legami fosfodiesterici e la transizione dall’iniziazione all’allungamento.

Un problema concettuale cruciale è la scelta del filamento di DNA da utilizzare come stampo. I due filamenti contengono informazioni differenti e, se trascritti, condurrebbero a RNA diversi. La soluzione risiede nella polarità intrinseca del promotore, che impone all’RNA polimerasi un orientamento univoco sul DNA. Poiché l’enzima catalizza la sintesi soltanto nella direzione \(5'\to 3'\), una volta posizionata correttamente, la polimerasi impiega come matrice il filamento orientato \(3'\to 5'\). Questo vincolo è determinato dalla disposizione asimmetrica degli elementi del promotore a monte del +1 (Figura 03.05-09).

La direzione di trascrizione non è fissa a livello cromosomico: su uno stesso cromosoma, diversi geni possono essere trascritti in direzioni opposte, a seconda dell’orientamento del rispettivo promotore. In genere, ciascun gene dispone di un solo promotore principale, il cui orientamento definisce quale filamento fungerà da stampo e in quale direzione procederà l’enzima per quel gene (Figura 03.05-10). Arrangiamenti con promotori divergenti o convergenti possono tuttavia verificarsi, soprattutto in regioni regolative complesse.

Nei sistemi eucariotici, il principio generale è conservato, ma l’architettura molecolare è più articolata: coesistono tre RNA polimerasi nucleari principali (I, II e III), ciascuna specializzata per specifiche categorie di geni; il riconoscimento del promotore da parte della RNA polimerasi II richiede fattori generali della trascrizione (per esempio il complesso TFIID, che include la proteina legante la TATA box, TBP), e l’accesso al DNA è modulato dalla cromatina e dalle modificazioni degli istoni. Pur non entrando nel dettaglio eucariotico, questa complessità riflette la necessità di un controllo multilivello nell’iniziazione e nella terminazione della trascrizione.

In sintesi, l’avvio e la conclusione della trascrizione sono determinati da segnali codificati nella sequenza del DNA e interpretati dall’RNA polimerasi e dai suoi cofattori. La presenza, l’orientamento e la qualità del promotore stabiliscono dove e in che direzione avviare la trascrizione, mentre i terminatori determinano il punto di arresto e il rilascio del trascritto, garantendo la produzione di RNA con estremità definite e competenti per le successive fasi di maturazione e funzione.

Image Gallery

Segnali della trascrizione

Appositi segnali della sequenza nucleotidica di un gene indicano all’RNA polimerasi batterica dove cominciare e terminare la trascrizione. L’RNA polimerasi batterica (in celeste) contiene una subunità chiamata fattore sigma (in giallo) che riconosce il promotore di un gene (in verde). Una volta che la trascrizione è iniziata, il fattore sigma si stacca e la polimerasi si sposta in avanti continuando la sintesi dell’RNA. L’allungamento della catena prosegue finché la polimerasi non incontra una sequenza nel gene detta codone di stop (in rosso). In quel punto l’enzima si arresta, sganciando sia lo stampo di DNA sia il nuovo trascritto di RNA. Poi la polimerasi si riassocia con un fattore sigma libero e, quando incontra un nuovo promotore, può dare nuovamente inizio alla stessa procedura.

Immagine tratta liberamente da Internet. Se viola i tuoi diritti, contattaci.

Image Gallery

Promotori e codoni di stop batterici

I promotori e i codoni di stop batterici hanno sequenze nucleotidiche specifiche riconosciute dall’RNA polimerasi. (A) Le regioni evidenziate con un riquadro verde rappresentano le sequenze nucleotidiche che caratterizzano un promotore. I numeri sopra al DNA indicano la posizione dei nucleotidi contando a ritroso dal primo nucleotide trascritto, corrispondente a +1. La polarità del promotore orienta la polimerasi e determina quale filamento di DNA viene trascritto. Tutti i promotori batterici contengono sequenze del DNA in posizione −10 e −35 che somigliano a quelle mostrate qui. (B) Le regioni evidenziate con un riquadro arancione rappresentano le sequenze nel gene che segnalano all’RNA polimerasi di porre fine alla trascrizione. Si noti che le regioni trascritte in RNA contengono il codone di stop, ma non le sequenze nucleotidiche del promotore.

Immagine tratta liberamente da Internet. Se viola i tuoi diritti, contattaci.

Image Gallery

Segnali della trascrizione

Appositi segnali della sequenza nucleotidica di un gene indicano all’RNA polimerasi batterica dove cominciare e terminare la trascrizione. L’RNA polimerasi batterica (in celeste) contiene una subunità chiamata fattore sigma (in giallo) che riconosce il promotore di un gene (in verde). Una volta che la trascrizione è iniziata, il fattore sigma si stacca e la polimerasi si sposta in avanti continuando la sintesi dell’RNA. L’allungamento della catena prosegue finché la polimerasi non incontra una sequenza nel gene detta codone di stop (in rosso). In quel punto l’enzima si arresta, sganciando sia lo stampo di DNA sia il nuovo trascritto di RNA. Poi la polimerasi si riassocia con un fattore sigma libero e, quando incontra un nuovo promotore, può dare nuovamente inizio alla stessa procedura.

Immagine tratta liberamente da Internet. Se viola i tuoi diritti, contattaci.

Image Gallery

Promotori e codoni di stop batterici

I promotori e i codoni di stop batterici hanno sequenze nucleotidiche specifiche riconosciute dall’RNA polimerasi. (A) Le regioni evidenziate con un riquadro verde rappresentano le sequenze nucleotidiche che caratterizzano un promotore. I numeri sopra al DNA indicano la posizione dei nucleotidi contando a ritroso dal primo nucleotide trascritto, corrispondente a +1. La polarità del promotore orienta la polimerasi e determina quale filamento di DNA viene trascritto. Tutti i promotori batterici contengono sequenze del DNA in posizione −10 e −35 che somigliano a quelle mostrate qui. (B) Le regioni evidenziate con un riquadro arancione rappresentano le sequenze nel gene che segnalano all’RNA polimerasi di porre fine alla trascrizione. Si noti che le regioni trascritte in RNA contengono il codone di stop, ma non le sequenze nucleotidiche del promotore.

Immagine tratta liberamente da Internet. Se viola i tuoi diritti, contattaci.

Image Gallery

Trascrizione su un cromosoma

Su un solo cromosoma, alcuni geni sono trascritti usando come stampo un filamento di DNA, altri geni usando invece l’altro filamento di DNA. L’RNA polimerasi si sposta sempre in direzione 3′→5′ rispetto al filamento stampo di DNA. La polarità del promotore, posto all’inizio di ogni gene, determina quale filamento funge da stampo (punte di freccia verdi). In questo disegno il gene a, che viene trascritto da sinistra a destra, usa come stampo il filamento inferiore (Figura 7.10): il gene b, trascritto da destra a sinistra, usa come stampo il filamento superiore.

Immagine tratta liberamente da Internet. Se viola i tuoi diritti, contattaci.

L’avvio della trascrizione negli eucarioti è altamente articolato

Molti principi fondamentali della trascrizione sono condivisi tra procarioti ed eucarioti; tuttavia, le modalità con cui negli eucarioti ha inizio la sintesi di RNA divergono in aspetti chiave di natura strutturale e regolativa. Tali differenze impattano sia l’architettura del complesso di inizio, sia l’integrazione dei segnali regolatori sul DNA cromatinizzato:

  • Pluralità di RNA polimerasi e specializzazione funzionale: nei batteri un’unica RNA polimerasi gestisce la trascrizione, mentre negli eucarioti operano tre enzimi distinti, RNA polimerasi I, II e III, ciascuno dedicato a classi specifiche di geni; la polimerasi I sintetizza il precursore dell’rRNA maggiore, la polimerasi III produce 5S rRNA, tRNA e alcuni RNA non codificanti aggiuntivi, e la polimerasi II trascrive la maggior parte dei geni, inclusi tutti quelli codificanti proteine (Tabella 03.05-02);
  • Dipendenza da complessi proteici ausiliari: a differenza della RNA polimerasi batterica che, coadiuvata da sigma, può iniziare la trascrizione, le RNA polimerasi eucariotiche necessitano di molteplici cofattori; i più determinanti sono i fattori generali di trascrizione, che si assemblano sul promotore per reclutare e posizionare l’enzima;
  • Regolazione multilivello e controllo a lunga distanza: nei procarioti i geni sono spesso contigui e separati da brevi tratti intergenici; negli eucarioti, invece, i geni sono distanziati da ampie regioni non codificanti (anche 100 000 coppie di nucleotidi) e sono soggetti a reti di elementi regolatori (enhancer, silencer, insulator) anche molto lontani, con integrazione spaziale mediata dall’organizzazione 3D del genoma;
  • Influenza della cromatina: il DNA eucariotico è avvolto in nucleosomi e ulteriormente compattato in strutture superiori, imponendo barriere fisiche e regolative che devono essere rimodellate per consentire l’accesso dell’apparato trascrizionale.

Sulla base di queste premesse, l’attenzione si concentra sui fattori generali di trascrizione e su come facilitano l’avvio catalizzato dalla RNA polimerasi II.

Tipo di polimerasiGeni trascritti
RNA polimerasi ITrascrive la maggior parte dei geni dell’rRNA ribosomale
RNA polimerasi IITrascrive geni codificanti proteine, miRNA e diversi RNA non codificanti (es. snRNA)
RNA polimerasi IIITrascrive geni per tRNA, rRNA 5S e numerosi piccoli RNA

Funzioni delle RNA polimerasi negli eucarioti

Le cellule eucariotiche possiedono tre RNA polimerasi specializzate, ognuna dedicata alla sintesi di specifiche classi di RNA. Questa suddivisione del lavoro consente di mantenere un controllo accurato dell’espressione genica e della produzione di molecole fondamentali per la vita cellulare.

La RNA polimerasi II necessita dei fattori generali per l’innesco

La RNA polimerasi II purificata non è in grado di avviare autonomamente la sintesi di RNA; esperimenti biochimici hanno quindi condotto all’identificazione e purificazione dei fattori generali di trascrizione. Questi complessi proteici riconoscono il promotore, orientano la polimerasi, promuovono l’apertura della doppia elica e stabiliscono il sito d’inizio, svolgendo negli eucarioti un ruolo concettualmente analogo a quello del fattore sigma nei batteri.

Come illustrato in (Figura 03.05-11), l’assemblaggio sul promotore culmina nella formazione del complesso di pre-inizio (PIC). Nella maggioranza dei promotori della polimerasi II, un passaggio iniziale cruciale è il legame del fattore TFIID a specifici elementi del promotore. TFIID contiene la TATA-binding protein (TBP), che riconosce la TATA box, una breve sequenza ricca in A e T posta di norma circa 30 nucleotidi a monte del sito d’inizio. Il legame di TBP nella minor groove induce una marcata curvatura del DNA e una distorsione locale della doppia elica (Figura 03.05-12), creando un punto di riferimento topologico per l’assemblaggio successivo. Oltre alla TATA, subunità TAF di TFIID possono riconoscere elementi core aggiuntivi, quali initiator (Inr), DPE e MTE, spiegando perché alcuni promotori efficaci non possiedano una TATA box canonica.

Dopo l’ancoraggio di TFIID, altri fattori (TFIIA, TFIIB) stabilizzano il legame e dirigono il reclutamento del complesso Pol II–TFIIF, seguito da TFIIE e TFIIH, a costituire il PIC completo. L’ordine di assemblaggio mostrato in (Figura 03.05-11) rappresenta una sequenza possibile, ma variabile a seconda del promotore e del contesto cromatinico. Analogamente ai promotori batterici, anche quelli eucariotici contengono segnali direzionali che determinano quale filamento di DNA venga usato come stampo e la direzione della trascrizione (Figura 03.05-13).

Il passaggio da complesso chiuso a complesso aperto richiede l’attività ATPasica/elicasi di TFIIH, che promuove la fusione locale del DNA al sito d’inizio. Contestualmente, la “coda” C-terminale (CTD) della polimerasi II, formata da ripetizioni eptapeptidiche YSPTSPS, viene fosforilata: la chinasi CDK7 di TFIIH catalizza principalmente la fosforilazione su Ser5, evento chiave per il “promoter escape” e per il reclutamento degli enzimi di capping, come indicato in (Figura 03.05-11). Questo stato fosforilato consente all’enzima di lasciare alle spalle gran parte dei fattori generali e di entrare nella fase di allungamento iniziale.

Una quota dei fattori generali rimane prossima al promotore o si rende rapidamente disponibile per ulteriori cicli di avvio, favorendo la ri-iniziazione. Al termine della trascrizione di un gene, la polimerasi II deve essere ricondotta a uno stato competente per un nuovo innesco: la CTD viene defosforilata da fosfatasi specifiche (ad esempio FCP1 e Ssu72), poiché solo la forma ipodefosforilata della polimerasi II è idonea a rientrare nel ciclo d’inizio.

La configurazione della cromatina modula in modo sostanziale l’efficienza del PIC. Complessi rimodellatori dei nucleosomi (come SWI/SNF e ISWI) e attività enzimatiche che modificano gli istoni (acetiltransferasi e metiltransferasi) cooperano per rendere accessibili i promotori attivi; tipicamente, promotori di geni espressi presentano nucleosomi con segni come H3K4me3 e regioni adiacenti arricchite in H3K27ac. Coattivatori su larga scala, quali il complesso Mediator, integrano i segnali provenienti da enhancer distali e stabilizzano l’interazione con il PIC, contribuendo all’efficiente reclutamento della polimerasi II.

Negli animali, inoltre, è frequente una pausa prossimale al promotore dopo poche decine di nucleotidi trascritti: i complessi NELF e DSIF stabilizzano questa pausa, mentre la chinasi P-TEFb (CDK9) fosforila Ser2 della CTD e componenti del complesso di pausa, facilitando la transizione verso l’allungamento produttivo. Tale modulazione, non mostrata in (Figura 03.05-11), si integra con i passaggi di inizio rappresentati.

Esempio applicativo: in una cellula epatica, un gene per un enzima metabolico può dipendere da un enhancer situato oltre 50 kb a monte. Un fattore “pioneer” apre localmente la cromatina, consentendo l’acetilazione degli istoni e il reclutamento di Mediator. La formazione di un loop cromatinico mette in contatto l’enhancer con il promotore; TFIID si lega agli elementi core (TATA o Inr), TFIIH apre la doppia elica e fosforila la CTD su Ser5, permettendo alla polimerasi II di superare il promotore. La successiva azione di P-TEFb consolida l’allungamento, mentre le fosfatasi CTD, a fine ciclo, ripristinano lo stato compatibile con una nuova iniziazione.

Image Gallery

Fattori di trascrizione e RNA polimerasi II

L’RNA polimerasi II eucariote necessita di un gruppo di fattori generali di trascrizione per cominciare a trascrivere. Questi fattori di trascrizione sono chiamati TFIIB, TFIID ecc. (A) Molti promotori degli eucarioti contengono una sequenza di DNA detta TATA box. (B) La TATA box viene riconosciuta da una subunità del fattore di trascrizione TFIID, che si lega alla TATA box, detta TBP. Per semplicità, non è illustrata la distorsione del DNA prodotta dal legame di TBP (Figura 7.13). (C) Il legame di un TFIID permette il legame di un TFIIB adiacente. (D) Al promotore si associano gli altri fattori generali di trascrizione e la stessa RNA polimerasi. (E) Utilizzando l’energia di idrolisi dell’ATP, il TFIIH apre la doppia elica in corrispondenza del punto di inizio della trascrizione, rendendo accessibile il filamento stampo. Il TFIIH ha inoltre il compito di fosforilare l’RNA polimerasi II, liberandola dalla maggior parte dei fattori generali di trascrizione perché possa avviare la trascrizione. Il sito di fosforilazione è una lunga “coda” polipeptidica che sporge dalla polimerasi. Una volta che la polimerasi si è allontanata dal promotore, la maggior parte dei fattori generali di trascrizione vengono rilasciati dal DNA; fa eccezione il TFIID, che rimane legato attraverso più cicli di inizio della trascrizione.

Immagine tratta liberamente da Internet. Se viola i tuoi diritti, contattaci.

Image Gallery

TBP e TATA box

La proteina che si lega alla TATA box (TBP) stabilisce un legame con le sequenze TATA (indicate con le lettere) e distorce la doppia elica di DNA. La TBP, una subunità del TFIID (Figura 7.12), distorce il DNA quando vi si lega. La TBP è una catena polipeptidica unica ripiegata in due domini molto simili (blu e verde). La proteina si posiziona sopra la doppia elica come la sella sulla groppa di un cavallo.

Immagine tratta liberamente da Internet. Se viola i tuoi diritti, contattaci.

Image Gallery

Fattori di trascrizione e RNA polimerasi II

L’RNA polimerasi II eucariote necessita di un gruppo di fattori generali di trascrizione per cominciare a trascrivere. Questi fattori di trascrizione sono chiamati TFIIB, TFIID ecc. (A) Molti promotori degli eucarioti contengono una sequenza di DNA detta TATA box. (B) La TATA box viene riconosciuta da una subunità del fattore di trascrizione TFIID, che si lega alla TATA box, detta TBP. Per semplicità, non è illustrata la distorsione del DNA prodotta dal legame di TBP (Figura 7.13). (C) Il legame di un TFIID permette il legame di un TFIIB adiacente. (D) Al promotore si associano gli altri fattori generali di trascrizione e la stessa RNA polimerasi. (E) Utilizzando l’energia di idrolisi dell’ATP, il TFIIH apre la doppia elica in corrispondenza del punto di inizio della trascrizione, rendendo accessibile il filamento stampo. Il TFIIH ha inoltre il compito di fosforilare l’RNA polimerasi II, liberandola dalla maggior parte dei fattori generali di trascrizione perché possa avviare la trascrizione. Il sito di fosforilazione è una lunga “coda” polipeptidica che sporge dalla polimerasi. Una volta che la polimerasi si è allontanata dal promotore, la maggior parte dei fattori generali di trascrizione vengono rilasciati dal DNA; fa eccezione il TFIID, che rimane legato attraverso più cicli di inizio della trascrizione.

Immagine tratta liberamente da Internet. Se viola i tuoi diritti, contattaci.

Image Gallery

Promotori eucarioti

Negli eucarioti i promotori dei geni contengono sequenze che promuovono il legame dei fattori generali di trascrizione. Sono indicate le posizioni di ciascuna sequenza e i fattori generali di trascrizione che le riconoscono. N indica qualsiasi nucleotide e la barra (/) significa che entrambi i nucleotidi possono essere presenti nella posizione indicata. Per la maggior parte dei siti di inizio trascritti dall’RNA polimerasi II sono necessarie solo due o tre delle quattro sequenze. Sebbene la maggior parte di queste sequenze di DNA si trovi a monte del sito di inizio della trascrizione, una, a +30, si trova all’interno della regione trascritta del gene.

Immagine tratta liberamente da Internet. Se viola i tuoi diritti, contattaci.

Image Gallery

Fattori di trascrizione e RNA polimerasi II

L’RNA polimerasi II eucariote necessita di un gruppo di fattori generali di trascrizione per cominciare a trascrivere. Questi fattori di trascrizione sono chiamati TFIIB, TFIID ecc. (A) Molti promotori degli eucarioti contengono una sequenza di DNA detta TATA box. (B) La TATA box viene riconosciuta da una subunità del fattore di trascrizione TFIID, che si lega alla TATA box, detta TBP. Per semplicità, non è illustrata la distorsione del DNA prodotta dal legame di TBP (Figura 7.13). (C) Il legame di un TFIID permette il legame di un TFIIB adiacente. (D) Al promotore si associano gli altri fattori generali di trascrizione e la stessa RNA polimerasi. (E) Utilizzando l’energia di idrolisi dell’ATP, il TFIIH apre la doppia elica in corrispondenza del punto di inizio della trascrizione, rendendo accessibile il filamento stampo. Il TFIIH ha inoltre il compito di fosforilare l’RNA polimerasi II, liberandola dalla maggior parte dei fattori generali di trascrizione perché possa avviare la trascrizione. Il sito di fosforilazione è una lunga “coda” polipeptidica che sporge dalla polimerasi. Una volta che la polimerasi si è allontanata dal promotore, la maggior parte dei fattori generali di trascrizione vengono rilasciati dal DNA; fa eccezione il TFIID, che rimane legato attraverso più cicli di inizio della trascrizione.

Immagine tratta liberamente da Internet. Se viola i tuoi diritti, contattaci.

Image Gallery

Fattori di trascrizione e RNA polimerasi II

L’RNA polimerasi II eucariote necessita di un gruppo di fattori generali di trascrizione per cominciare a trascrivere. Questi fattori di trascrizione sono chiamati TFIIB, TFIID ecc. (A) Molti promotori degli eucarioti contengono una sequenza di DNA detta TATA box. (B) La TATA box viene riconosciuta da una subunità del fattore di trascrizione TFIID, che si lega alla TATA box, detta TBP. Per semplicità, non è illustrata la distorsione del DNA prodotta dal legame di TBP (Figura 7.13). (C) Il legame di un TFIID permette il legame di un TFIIB adiacente. (D) Al promotore si associano gli altri fattori generali di trascrizione e la stessa RNA polimerasi. (E) Utilizzando l’energia di idrolisi dell’ATP, il TFIIH apre la doppia elica in corrispondenza del punto di inizio della trascrizione, rendendo accessibile il filamento stampo. Il TFIIH ha inoltre il compito di fosforilare l’RNA polimerasi II, liberandola dalla maggior parte dei fattori generali di trascrizione perché possa avviare la trascrizione. Il sito di fosforilazione è una lunga “coda” polipeptidica che sporge dalla polimerasi. Una volta che la polimerasi si è allontanata dal promotore, la maggior parte dei fattori generali di trascrizione vengono rilasciati dal DNA; fa eccezione il TFIID, che rimane legato attraverso più cicli di inizio della trascrizione.

Immagine tratta liberamente da Internet. Se viola i tuoi diritti, contattaci.

Nei nuclei eucariotici si svolge la maturazione dell’RNA

La trascrizione del DNA in RNA è un processo conservato lungo l’evoluzione, ma il destino del trascritto diverge profondamente tra procarioti ed eucarioti. Nelle cellule batteriche, prive di inviluppo nucleare, il genoma è immerso nel citosol, lo stesso compartimento in cui operano i ribosomi; di conseguenza, la traduzione può iniziare mentre l’RNA nasce, con i ribosomi che si associano subito all’estremità 5′ dell’mRNA nascente. Nelle cellule eucariotiche, invece, la trascrizione avviene nel nucleo, mentre la sintesi proteica è eseguita su ribosomi localizzati nel citoplasma; l’mRNA deve quindi essere esportato attraverso i complessi del poro nucleare prima di essere tradotto (Figura 03.05-14). Tale esportazione è strettamente subordinata a un insieme coordinato di modificazioni del trascritto, note come maturazione dell’RNA (RNA processing), che si svolgono per gran parte in modo co-trascrizionale e comprendono capping, splicing e poliadenilazione.

Gli enzimi deputati alla maturazione sono reclutati e organizzati dalla coda carbossi-terminale (CTD) dell’RNA polimerasi II, la quale, grazie a specifiche fosforilazioni dei suoi ripetuti eptapeptidici YSPTSPS, funge da piattaforma dinamica per l’assemblaggio sequenziale dei complessi di processamento (Figura 03.05-11) e (Figura 03.05-15). Due tappe risultano pressoché universali per i trascritti che diventeranno mRNA: l’aggiunta del cappuccio 5′ e la poliadenilazione dell’estremità 3′.

1. Capping 5′. Poco dopo l’inizio della trascrizione, quando il pre-mRNA ha raggiunto circa 20–30 nucleotidi, l’estremità 5′ viene modificata con l’aggiunta di una 7-metilguanosina legata tramite un ponte trifosfato inusuale \(5′\text{–}5′\). Il cappuccio è ulteriormente metilato e riconosciuto dal complesso legante il cappuccio (cap-binding complex, CBC) (Figura 03.05-16). Nei batteri l’estremità 5′ rimane semplicemente trifosforilata e non è cappata.

2. Poliadenilazione 3′. Negli eucarioti, la terminazione dell’mRNA prevede un taglio endonucleolitico del trascritto a valle di una sequenza di segnale di poliadenilazione (tipicamente AAUAAA, con varianti funzionali), seguito dall’aggiunta, ad opera della poli(A) polimerasi, di una coda poliadenilica lunga tipicamente da alcune decine a qualche centinaio di residui (Figura 03.05-16). La coda è rivestita da proteine leganti la poli(A), che ne modulano stabilità ed efficienza traduttiva.

Insieme, cappuccio e poli(A) stabilizzano l’mRNA, ne favoriscono l’esportazione nucleare e fungono da segnali di idoneità per l’avvio della traduzione, assicurando che l’integrità delle estremità 5′ e 3′ sia verificata dagli apparati cellulari.

Image Gallery

Esportazione dell’mRNA

Per essere tradotte, le molecole di mRNA sintetizzate nel nucleo devono essere esportate nel citoplasma attraverso i pori dell’involucro nucleare (frecce rosse). In questa immagine appare il nucleo di una cellula di fegato in sezione. Il nucleolo è il luogo in cui gli RNA ribosomiali vengono sintetizzati e associati alle proteine per formare i ribosomi, che vengono successivamente esportati nel citoplasma.

Immagine tratta liberamente da Internet. Se viola i tuoi diritti, contattaci.

Image Gallery

Fattori di trascrizione e RNA polimerasi II

L’RNA polimerasi II eucariote necessita di un gruppo di fattori generali di trascrizione per cominciare a trascrivere. Questi fattori di trascrizione sono chiamati TFIIB, TFIID ecc. (A) Molti promotori degli eucarioti contengono una sequenza di DNA detta TATA box. (B) La TATA box viene riconosciuta da una subunità del fattore di trascrizione TFIID, che si lega alla TATA box, detta TBP. Per semplicità, non è illustrata la distorsione del DNA prodotta dal legame di TBP (Figura 7.13). (C) Il legame di un TFIID permette il legame di un TFIIB adiacente. (D) Al promotore si associano gli altri fattori generali di trascrizione e la stessa RNA polimerasi. (E) Utilizzando l’energia di idrolisi dell’ATP, il TFIIH apre la doppia elica in corrispondenza del punto di inizio della trascrizione, rendendo accessibile il filamento stampo. Il TFIIH ha inoltre il compito di fosforilare l’RNA polimerasi II, liberandola dalla maggior parte dei fattori generali di trascrizione perché possa avviare la trascrizione. Il sito di fosforilazione è una lunga “coda” polipeptidica che sporge dalla polimerasi. Una volta che la polimerasi si è allontanata dal promotore, la maggior parte dei fattori generali di trascrizione vengono rilasciati dal DNA; fa eccezione il TFIID, che rimane legato attraverso più cicli di inizio della trascrizione.

Immagine tratta liberamente da Internet. Se viola i tuoi diritti, contattaci.

Image Gallery

Fosforilazione della coda della polimerasi II

La fosforilazione della coda dell’RNA polimerasi II permette di aggregare le proteine di maturazione dell’RNA in quel punto. L’apposizione del cappuccio, la poliadenilazione e lo splicing sono tutte modifiche che avvengono mentre l’RNA viene sintetizzato. Si noti che le fosfatasi mostrate qui sono in aggiunta a quelle necessarie per avviare la trascrizione (Figura 7.12).

Immagine tratta liberamente da Internet. Se viola i tuoi diritti, contattaci.

Image Gallery

Modifiche dell’mRNA negli eucarioti

Negli eucarioti l’apposizione del cappuccio e la poliadenilazione modificano le molecole di mRNA. (A) Un mRNA eucariote presenta un cappuccio all’estremità 5′ e una coda di poliA in corrispondenza dell’estremità 3′. Come mostrato, oltre alle sequenze nucleotidiche che codificano per proteine, la maggior parte degli mRNA contiene sequenze extra non codificanti. La porzione non codificante all’estremità 5′ è chiamata regione non tradotta 5′ o 5′ UTR (UnTranslated Region) e quella all’estremità 3′ è chiamata 3′ UTR. (B) Struttura del cappuccio all’estremità 5′: molti mRNA presentano una modifica ulteriore negli eucarioti; il gruppo ossidrile in 2′ del secondo ribosio della molecola di mRNA è metilato (non mostrato nella figura).

Immagine tratta liberamente da Internet. Se viola i tuoi diritti, contattaci.

Image Gallery

Modifiche dell’mRNA negli eucarioti

Negli eucarioti l’apposizione del cappuccio e la poliadenilazione modificano le molecole di mRNA. (A) Un mRNA eucariote presenta un cappuccio all’estremità 5′ e una coda di poliA in corrispondenza dell’estremità 3′. Come mostrato, oltre alle sequenze nucleotidiche che codificano per proteine, la maggior parte degli mRNA contiene sequenze extra non codificanti. La porzione non codificante all’estremità 5′ è chiamata regione non tradotta 5′ o 5′ UTR (UnTranslated Region) e quella all’estremità 3′ è chiamata 3′ UTR. (B) Struttura del cappuccio all’estremità 5′: molti mRNA presentano una modifica ulteriore negli eucarioti; il gruppo ossidrile in 2′ del secondo ribosio della molecola di mRNA è metilato (non mostrato nella figura).

Immagine tratta liberamente da Internet. Se viola i tuoi diritti, contattaci.

Nei genomi eucariotici i geni proteici contengono introni non codificanti

Una peculiarità dei geni eucariotici è la presenza, all’interno delle regioni trascritte, di segmenti non codificanti denominati introni, che interrompono le sequenze codificanti o esoni. Nei procarioti, di norma, l’informazione per una proteina è contenuta in una regione contigua che, una volta trascritta, può essere tradotta senza ulteriori interventi. Negli eucarioti, al contrario, gli esoni sono intervallati da uno o più introni, spesso più lunghi degli esoni stessi, cosicché la porzione effettivamente codificante rappresenta solo una frazione della lunghezza complessiva del gene (Figura 03.05-17). La dimensione degli introni è estremamente variabile, da 1 fino a oltre 10 000 nucleotidi, e la loro numerosità per gene differisce tra loci e specie: alcuni geni sono intron-less, altri contengono pochi introni, molti ne possiedono numerosi (Figura 03.05-18). Le denominazioni “esone” e “introne” si applicano tanto al DNA quanto agli RNA corrispondenti trascritti da tali regioni.

Image Gallery

Organizzazione dei geni

I geni sono organizzati in modo diverso nei procarioti e negli eucarioti. Il gene batterico consiste di un tratto unico di sequenza nucleotidica ininterrotta, che codifica la sequenza amminoacidica di una proteina. Invece, le sequenze codificanti di quasi tutti i geni degli eucarioti (esoni) sono interrotte da sequenze non codificanti (introni). I promotori della trascrizione sono indicati in verde.

Immagine tratta liberamente da Internet. Se viola i tuoi diritti, contattaci.

Image Gallery

Geni umani frammentati in esoni e introni

La maggior parte dei geni umani codificanti è frammentata in esoni e introni. (A) Il gene della β-globina, che codifica una delle subunità dell’emoglobina, proteina vettrice di ossigeno, contiene 3 esoni. (B) Il gene che codifica il fattore VIII, una proteina attiva nel processo della coagulazione sanguigna, contiene 26 esoni. Alcune mutazioni in questo grande gene causano la forma più comune di emofilia.

Immagine tratta liberamente da Internet. Se viola i tuoi diritti, contattaci.

Rimozione degli introni dall’mRNA mediante splicing

Il trascritto primario prodotto dall’RNA polimerasi II (pre-mRNA) include sia esoni sia introni. Dopo il capping, e mentre la trascrizione procede, si attiva lo splicing, processo di taglio e giunzione che elimina gli introni e ricuce gli esoni in continuità. La poliadenilazione del 3′ avviene al termine o, in molti casi, in parallelo alle reazioni di splicing. Il risultato finale, un mRNA con cappuccio 5′, giunzioni esone–esone e coda poli(A), è competente per l’export e la traduzione.

La cellula identifica gli introni grazie a brevi segnali cis conservati, posizionati alle estremità introniche e in prossimità del punto di ramificazione: un dinucleotide quasi invariante GU al 5′, un AG al 3′, una sequenza di ramificazione contenente una adenina reattiva e, spesso, un tratto polipirimidinico a valle del branch point (Figura 03.05-19). Lo splicing procede mediante due transesterificazioni che generano un “lariat”, un cappio intronico, in cui l’adenosina del branch point forma un insolito legame \(2′\text{–}5′\) con il primo nucleotide dell’introne (Figura 03.05-20).

Queste reazioni sono catalizzate in gran parte da RNA, non da proteine. Piccoli RNA nucleari (snRNA) — tra cui U1, U2, U4, U5 e U6 — assemblati con proteine formano le particelle snRNP, che riconoscono per appaiamento di basi i segnali di splicing sul pre-mRNA, orchestrano i riarrangiamenti conformazionali e promuovono la catalisi; gli RNA catalitici coinvolti rientrano nella categoria dei ribozimi (Figura 03.05-21). Le snRNP e numerose proteine accessorie costituiscono lo spliceosoma, un grande complesso dinamico responsabile della rimozione degli introni e della giunzione esonica.

L’organizzazione intron–esone, apparentemente onerosa, conferisce vantaggi sostanziali. Lo splicing alternativo consente di generare più isoforme proteiche dallo stesso gene mediante combinazioni differenziali di esoni: salti di esoni, esoni mutuamente esclusivi, siti di splicing 5′/3′ alternativi, ritenzione intronica (Figura 03.05-22). Nell’uomo, una larga maggioranza dei geni subisce splicing alternativo. La scelta dei siti è modulata da elementi regolatori in cis (enhancer/silencer esonici e intronici) e da proteine regolatrici (ad esempio SR e hnRNP), ampliando enormemente la capacità informativa del genoma.

Image Gallery

Sequenze di splicing

Alcune sequenze nucleotidiche speciali in un trascritto pre-mRNA segnalano l’inizio e la fine di un introne. Per rimuovere un introne bastano le sequenze nucleotidiche indicate qui. In tutte le altre posizioni dell’introne può trovarsi un nucleotide qualunque. Le piccole particelle ribonucleoproteiche nucleari (snRNP) riconoscono le sequenze segnale, tagliano l’RNA al confine tra l’introne e l’esone e uniscono gli esoni con un legame covalente. In questa figura, oltre ai simboli standard (A, C, G, U), R sta per A o G; Y sta per C o U; N sta per un nucleotide qualunque. La A scritta in rosso segna il punto in cui si biforca il cappio prodotto nella reazione di splicing mostrata nella Figura 7.21. Le distanze che sull’RNA separano le tre sequenze di splicing sono molto variabili; tuttavia, la distanza tra la biforcazione e il punto di giunzione 3′ è di solito molto più breve della distanza tra il punto di giunzione 3′ e la biforcazione (Figura 7.21). Le sequenze di splicing indicate qui derivano da studi sulla specie umana; altri eucarioti hanno sequenze simili per indirizzare le procedure di taglio e saldatura dell’RNA.

Immagine tratta liberamente da Internet. Se viola i tuoi diritti, contattaci.

Image Gallery

Struttura a cappio nello splicing

Durante lo splicing dell’RNA l’introne di una molecola di pre-mRNA forma una struttura ramificata. Nella prima tappa il residuo di adenina della biforcazione a cappio (A rossa), situato nella sequenza intronica, attacca il sito di splicing al 5′ e taglia l’ossatura zucchero-fosfato dell’RNA in quel punto (la stessa A evidenziata in rosso nella Figura 7.20). In questo processo, al punto di taglio al 5′ l’introne stabilisce un legame covalente con il gruppo 2′-OH del ribosio che porta quella adenina, formando una struttura a cappio. L’estremità libera 3′-OH della sequenza esonica reagisce poi con l’estremità iniziale della sequenza esonica successiva, unendo i due esoni in una sequenza codificante continua e liberando la struttura a cappio che contiene l’introne, destinata a essere degradata nel nucleo.

Immagine tratta liberamente da Internet. Se viola i tuoi diritti, contattaci.

Image Gallery

Complessi snRNP e spliceosoma

Lo splicing viene effettuato da una serie di complessi RNA-proteine detti snRNP. Sebbene esistano cinque tipi di snRNP e circa 200 ulteriori proteine richieste per lo splicing, sono mostrati qui solo i tre snRNP più importanti, detti U1, U2 e U6. U1 riconosce il sito di splicing 5′ e U2 riconosce il punto di biforcazione del cappio tramite l’appaiamento di basi complementari. U6 quindi “ricontrolla” il sito di splicing al 5′ spostando U1 e appaiando se stesso a questa sequenza di introni con basi complementari. Questa fase di “rilettura” migliora l’accuratezza del processo, verificando due volte il sito di splicing al 5′ prima di eseguire la reazione di splicing. Nei passi successivi, i cambiamenti conformazionali in U2 e U6, innescati dall’idrolisi dell’ATP da parte delle proteine spliceosomiali (non mostrate), portano alla formazione del sito attivo dello spliceosoma. Una volta che si sono verificate le reazioni di splicing (Figura 7.21), lo spliceosoma deposita un gruppo di proteine leganti l’RNA, noto come complesso di giunzione dell’esone (in rosso), sull’mRNA per contrassegnare il sito di splicing come completato con successo.

Immagine tratta liberamente da Internet. Se viola i tuoi diritti, contattaci.

Image Gallery

Splicing alternativo

Alcuni pre-mRNA vengono sottoposti a uno splicing alternativo in modo tale da produrre diversi mRNA e proteine a partire dallo stesso gene. Sebbene tutti gli esoni siano trascritti, lo spliceosoma può saltarne alcuni per produrre mRNA diversi, dando luogo a splicing alternativi, come mostrato. Questo salto si verifica quando i segnali di splicing all’estremità 5′ di un introne vengono appaiati con il punto di diramazione e con l’estremità 3′ di un introne diverso. Una caratteristica importante dello splicing alternativo è che gli esoni possono essere saltati o inclusi; tuttavia, il loro ordine, che è specificato nella sequenza del DNA, non può essere riorganizzato.

Immagine tratta liberamente da Internet. Se viola i tuoi diritti, contattaci.

Sintesi e maturazione dell’RNA in condensati nucleari con funzione di “fabbriche”

La produzione coordinata degli RNA eucariotici implica la collaborazione di RNA polimerasi, fattori di trascrizione e macchinari di processamento per capping, poliadenilazione e splicing. Oltre al reclutamento co-trascrizionale sulla CTD dell’RNA polimerasi II (Figura 03.05-15), questi componenti si organizzano in condensati biomolecolari privi di membrana — spesso generati per separazione di fase — che agiscono come “fabbriche” funzionali, visibili al microscopio come domini nucleari specializzati (Figura 03.05-23). In tali microambienti si concentrano enzimi e substrati, incrementando efficienza e fedeltà delle reazioni.

Organizzazioni analoghe interessano altri processi: la replicazione e la riparazione del DNA avvengono in “fabbriche” dedicate; i geni dell’rRNA si raggruppano nel nucleolo, dove l’rRNA si associa a proteine per costituire le subunità ribosomiali (Figura 03.05-16). Nel nucleo sono inoltre osservabili corpi di Cajal e “nuclear speckles”, coinvolti rispettivamente nella biogenesi di snRNP e nello stoccaggio di fattori di splicing. I ribosomi maturi e gli mRNA completamente processati sono poi esportati nel citoplasma per la traduzione.

Image Gallery

Fosforilazione della coda della polimerasi II

La fosforilazione della coda dell’RNA polimerasi II permette di aggregare le proteine di maturazione dell’RNA in quel punto. L’apposizione del cappuccio, la poliadenilazione e lo splicing sono tutte modifiche che avvengono mentre l’RNA viene sintetizzato. Si noti che le fosfatasi mostrate qui sono in aggiunta a quelle necessarie per avviare la trascrizione (Figura 7.12).

Immagine tratta liberamente da Internet. Se viola i tuoi diritti, contattaci.

Image Gallery

Fabbriche di RNA nel nucleo

Gli RNA sono prodotti da fabbriche presenti nel nucleo. Gli RNA vengono sintetizzati ed elaborati (in rosso) e il DNA viene replicato (in verde) nei condensati intracellulari che formano compartimenti discreti all’interno di un nucleo di mammifero. In questa micrografia, questi aggregati di proteine e acido nucleico sono stati visualizzati rilevando DNA e RNA di nuova sintesi. In alcuni casi, replicazione e trascrizione avvengono nello stesso sito (in giallo).

Immagine tratta liberamente da Internet. Se viola i tuoi diritti, contattaci.

Image Gallery

Modifiche dell’mRNA negli eucarioti

Negli eucarioti l’apposizione del cappuccio e la poliadenilazione modificano le molecole di mRNA. (A) Un mRNA eucariote presenta un cappuccio all’estremità 5′ e una coda di poliA in corrispondenza dell’estremità 3′. Come mostrato, oltre alle sequenze nucleotidiche che codificano per proteine, la maggior parte degli mRNA contiene sequenze extra non codificanti. La porzione non codificante all’estremità 5′ è chiamata regione non tradotta 5′ o 5′ UTR (UnTranslated Region) e quella all’estremità 3′ è chiamata 3′ UTR. (B) Struttura del cappuccio all’estremità 5′: molti mRNA presentano una modifica ulteriore negli eucarioti; il gruppo ossidrile in 2′ del secondo ribosio della molecola di mRNA è metilato (non mostrato nella figura).

Immagine tratta liberamente da Internet. Se viola i tuoi diritti, contattaci.

Esportazione nucleare degli mRNA maturi

Solo una frazione dei trascritti prodotti diventa mRNA maturo; la restante comprende introni escissi, trascritti parziali o RNA mal assemblati che devono essere trattenuti e degradati nel nucleo. L’uscita verso il citoplasma è dunque selettiva e dipende dal riconoscimento, da parte del complesso del poro nucleare, di mRNA correttamente processati e marcati da specifiche proteine (Figura 03.05-24). Tra i segnali di idoneità figurano:

  • il complesso legante il cappuccio sul 5′ (CBC), che tutela l’estremità e coordina l’assemblaggio di ulteriori fattori;
  • le proteine leganti la poli(A) nucleari sul 3′, che segnalano una corretta poliadenilazione;
  • il complesso di giunzione esonica (exon junction complex, EJC), depositato a valle dei siti di splicing e indicativo di giunzioni esone–esone formate correttamente;
  • il complesso TREX e i recettori di esportazione NXF1/TAP e NXT1/p15, che mediano l’interazione con il poro nucleare e il passaggio nel citoplasma;
  • i sistemi di sorveglianza nucleare, inclusa l’esosoma, che riconoscono e degradano RNA difettosi, prevenendone l’uscita.

È la combinazione di questi marcatori a determinare l’“autorizzazione” all’export. Gli RNA non idonei restano confinati e sono riciclati, preservando l’accuratezza dell’espressione genica.

Image Gallery

Esportazione dell’mRNA nel citoplasma

Un gruppo di proteine specializzate che legano l’RNA segnala che un mRNA completo è pronto per l’esportazione nel citoplasma. Come indicato a sinistra, il cappuccio al 5′ e la coda di poliA di una molecola di mRNA maturo sono “contrassegnati” da proteine che riconoscono queste modifiche. Tali regioni sono contrassegnate da complessi di giunzione degli esoni (Figura 7.22). Una volta che un mRNA è considerato “pronto per l’esportazione”, un recettore del trasporto nucleare si associa all’mRNA e lo guida attraverso il poro nucleare. Nel citoplasma, l’mRNA può liberare alcune di queste proteine e legarne di nuove, che, insieme alla proteina che lega il poliA, agiscono come fattori di inizio per la sintesi proteica.

Immagine tratta liberamente da Internet. Se viola i tuoi diritti, contattaci.

Destino citoplasmatico: degradazione degli mRNA

Una volta nel citoplasma, un mRNA può essere tradotto ripetutamente prima di essere eliminato; per questo, la sua emivita contribuisce in modo sostanziale all’abbondanza proteica (Figura 03.05-01). Le RNasi citoplasmatiche degradano gli mRNA seguendo percorsi regolati, e le velocità di decadimento variano ampiamente in base alla sequenza dell’mRNA e al contesto cellulare. Nei batteri, gli mRNA sono generalmente effimeri e spesso mostrano emivite di pochi minuti (ad esempio 2,5–5,0 minuti), favorendo risposte rapide. Negli eucarioti, la longevità è più eterogenea: alcuni messaggeri hanno emivite inferiori a 20 minuti, altri superano diverse ore; per esempio, l’mRNA dell’albumina epatica è relativamente stabile, mentre quello di fattori di risposta immediata, come c-FOS, è rapidamente degradato.

Elementi regolatori nelle regioni non tradotte, in particolare nella 3′ UTR situata tra il codone di stop e la coda poli(A) (Figura 03.05-16), modulano stabilità e traducibilità. Sequenze ricche in AU (ARE), siti di legame per microRNA e strutture secondarie possono reclutare fattori che accelerano o rallentano il decadimento. I principali percorsi includono:

  • deadenilazione dipendente da complessi come CCR4–NOT o PAN2–PAN3, seguita da decapping operato da DCP2/DCP1 e degradazione 5′→3′ tramite XRN1;
  • degradazione 3′→5′ mediata dall’esosoma citoplasmatico dopo accorciamento della poli(A);
  • tagli endonucleolitici specifici (ad esempio in risposta a microRNA o durante il nonsense-mediated decay, NMD, che elimina trascritti con codoni di stop prematuri marcati dagli EJC);
  • sequestro e rimodellamento in corpi citoplasmatici come P-bodies e stress granules, che fungono da hub per repressione traduttiva e turnover.

In generale, proteine necessarie in grandi quantità o in modo costitutivo tendono a derivare da mRNA più stabili, mentre funzioni regolative o di risposta rapida si appoggiano a mRNA a vita breve. Una sintesi comparativa di trascrizione, maturazione ed eliminazione degli RNA in procarioti ed eucarioti è illustrata nella (Figura 03.05-25).

Image Gallery

Efficienza di espressione genica

Una cellula è in grado di esprimere i geni con efficienza diversa. In questa figura e in quelle successive i tratti non trascritti del DNA sono evidenziati in grigio.

Immagine tratta liberamente da Internet. Se viola i tuoi diritti, contattaci.

Image Gallery

Modifiche dell’mRNA negli eucarioti

Negli eucarioti l’apposizione del cappuccio e la poliadenilazione modificano le molecole di mRNA. (A) Un mRNA eucariote presenta un cappuccio all’estremità 5′ e una coda di poliA in corrispondenza dell’estremità 3′. Come mostrato, oltre alle sequenze nucleotidiche che codificano per proteine, la maggior parte degli mRNA contiene sequenze extra non codificanti. La porzione non codificante all’estremità 5′ è chiamata regione non tradotta 5′ o 5′ UTR (UnTranslated Region) e quella all’estremità 3′ è chiamata 3′ UTR. (B) Struttura del cappuccio all’estremità 5′: molti mRNA presentano una modifica ulteriore negli eucarioti; il gruppo ossidrile in 2′ del secondo ribosio della molecola di mRNA è metilato (non mostrato nella figura).

Immagine tratta liberamente da Internet. Se viola i tuoi diritti, contattaci.

Image Gallery

Produzione di mRNA negli eucarioti e nei procarioti

La produzione di molecole di mRNA è molto più complessa negli eucarioti che nei procarioti. (A) Nelle cellule eucariote la molecola di pre-mRNA prodotta nella trascrizione contiene sequenze sia esoniche sia introniche. Le due estremità sono modificate dall’aggiunta del cappuccio e dalla poliadenilazione e gli introni vengono rimossi tramite splicing. L’mRNA risultante si trasferisce quindi dal nucleo al citoplasma, dove avviene la traduzione in proteina. I vari stadi sono indicati come se avvenissero uno dopo l’altro, in sequenza, ma in realtà essi si verificano simultaneamente. Per esempio, viene aggiunto il cappuccio e comincia il procedimento di taglio e ricucitura prima che la trascrizione sia completa: a causa di queste sovrapposizioni di solito non si trovano nella cellula trascritti dell’intero gene (cioè comprensivi di tutti gli introni e gli esoni). Alla fine, gli mRNA vengono degradati da RNasi nel citoplasma e i nucleotidi di cui erano costituiti vengono riutilizzati per la trascrizione. (B) Nei procarioti la produzione di molecole di mRNA è più semplice. L’estremità 5′ di una molecola di messaggero nasce all’inizio della trascrizione a opera dell’RNA polimerasi e l’estremità 3′ si produce con la fine della trascrizione stessa. Dato che le cellule procariote non hanno nucleo, la trascrizione e la traduzione avvengono nello stesso comparto. La traduzione dell’mRNA procariote, quindi, può cominciare prima che la sintesi sia terminata. Sia negli eucarioti sia nei procarioti, la quantità di una proteina nella cellula dipende dall’efficienza di ciascuno di questi processi e dalla velocità con cui si degradano l’RNA e le molecole proteiche.

Immagine tratta liberamente da Internet. Se viola i tuoi diritti, contattaci.

Key Points