I virus sono costituiti da una o più molecole di acido nucleico delimitate da un involucro proteico

Editors:
Test Ammissione
All Editors & Disclosures

TOPICS

Definizione

(by Test Ammissione)

Definizione

Le cellule rappresentano le unità elementari degli organismi pluricellulari, ma a differenza di elementi inerti come i mattoni, esse sono entità dinamiche, minute e vulnerabili. Ciascuna è delimitata da una membrana sottile, di spessore nell’ordine di pochi nanometri (circa 5–10 nm), la cui integrità è essenziale per la vita cellulare. Da ciò scaturiscono domande cruciali: come può una moltitudine di unità così delicate costituire strutture imponenti e resistenti, come il corpo di un grande mammifero o il tronco di un albero? In che modo cellule singole, ognuna con i propri vincoli biofisici, si coordinano per generare architetture complesse e correttamente organizzate nello spazio (Figura 06.01-01)?

Negli organismi pluricellulari, la maggior parte delle cellule appartiene a insiemi cooperativi, i tessuti, che si distinguono per composizione e funzione. Nei vertebrati, si riconoscono classi principali come epiteliale, connettivo, muscolare e nervoso, ciascuna caratterizzata da peculiari proprietà biomeccaniche e fisiologiche. I tessuti si integrano a costituire gli organi—cuore, fegato, cervello, reni—nei quali la cooperazione fra tipi cellulari distinti e componenti non cellulari consente prestazioni complesse (Figura 06.01-02).

L’architettura tissutale emerge dall’interazione tra due contributi complementari: la componente cellulare con il suo citoscheletro (actina, microtubuli e filamenti intermedi) e la matrice extracellulare (ECM) che le cellule sintetizzano e rimodellano. L’ECM, composta in prevalenza da collagene, elastina, proteoglicani e glicoproteine adesive come fibronectina e laminina, definisce la resistenza a trazione, la compressibilità e l’elasticità dei tessuti; la lamina basale, in particolare, funge da piattaforma di ancoraggio e filtrazione per molti epiteli. Nelle piante, ruoli analoghi di sostegno sono svolti dalla parete cellulare, ricca di cellulosa ed emicellulose, che conferisce rigidità e resistenza alla pressione di turgore.

Oltre all’ECM, l’adesione cellula-cellula fornisce continuità meccanica e comunicazione funzionale. Diverse giunzioni intercellulari, mediate da famiglie proteiche specifiche, coordinano coesione e scambio:

  • giunzioni aderenti e desmosomi, basate su cadherine, collegate al citoscheletro per distribuire le forze e stabilizzare gli epiteli;
  • giunzioni strette, che sigillano gli spazi intercellulari e definiscono la polarità epiteliale regolando permeabilità e trasporto;
  • giunzioni comunicanti (gap junctions), che permettono il passaggio di piccole molecole e segnali elettrici tra cellule adiacenti;
  • adesioni cellula-matrice, mediate da integrine, che trasmettono forze bidirezionali tra citoscheletro ed ECM e orchestrano migrazione e differenziamento.

L’organizzazione tissutale comprende inoltre infrastrutture integrate—vascolarizzazione, innervazione, drenaggio linfatico e compartimenti immunitari—che assicurano apporto di nutrienti, scambio di gas, rimozione di cataboliti e controllo omeostatico. Questi sistemi sono composti da ulteriori tipi cellulari specializzati (endoteliali, periciti, cellule gliali, immunitarie) la cui disposizione e interazione sono strettamente regolate.

La vitalità dei tessuti richiede manutenzione costante: le cellule danneggiate o senescenti devono essere eliminate e rimpiazzate con nuove unità del tipo appropriato, nella sede corretta e in quantità adeguata. Tale ricambio dipende da cellule staminali e progenitori, capaci di autorinnovarsi e di generare linee differenziate secondo programmi intrinseci e segnali provenienti dalla nicchia staminale. La regolazione di questi processi implica reti di segnalazione e fattori di trascrizione che bilanciano proliferazione, differenziamento, morte programmata e migrazione, garantendo al tempo stesso l’integrità tissutale e l’adattamento fisiologico.

Quando i meccanismi che presiedono a crescita, riparo e controllo della qualità cellulare si alterano, emergono patologie di grande impatto clinico. Il cancro rappresenta l’esito di un’evoluzione clonale di cellule mutate che acquisiscono vantaggi proliferativi e invasivi, eludendo i vincoli posti dal microambiente tissutale. La sua comprensione integra livelli diversi di analisi: dalla biologia molecolare della replicazione e riparazione del DNA alla dinamica delle vie di segnalazione, fino ai principi di ecologia e selezione somatica all’interno dei tessuti. La ricerca oncologica, interfacciandosi con la biologia cellulare e dei tessuti, ha prodotto conoscenze fondamentali sui circuiti che governano adesione, ciclo cellulare, apoptosi e interazione con l’ECM; tali progressi si traducono in strategie terapeutiche sempre più mirate e razionali.

Image Gallery

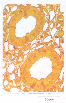
Comunità cellulari nei tessuti pluricellulari

Gli organismi pluricellulari sono costituiti da comunità organizzate di cellule. Questa immagine mostra una sezione di dotto urinario del rene umano. Ogni dotto è formato da cellule “principali” fittamente organizzate in modo da formare un tubo epiteliale, che in questa sezione trasversale appare come un anello. I dotti sono immersi nella matrice extracellulare, popolata da altri tipi di cellule.

Immagine tratta liberamente da Internet. Se viola i tuoi diritti, contattaci.

Image Gallery

Organizzazione delle cellule in tessuti e organi

Le cellule sono organizzate in tessuti e i tessuti in organi. Disegno che rappresenta in modo semplificato un tratto della parete dell’intestino di un mammifero in sezione trasversale. Questo organo, lungo e tubolare, è composto di strati di tessuto epiteliale (in rosa), di tessuto connettivo (in verde) e di tessuto muscolare (in giallo). Ogni tessuto è un gruppo organizzato di cellule tenute insieme da strutture di adesione cellulare, da matrice extracellulare o da entrambe.

Immagine tratta liberamente da Internet. Se viola i tuoi diritti, contattaci.

Key Points